Θεραπεία ουλίτιδας / περιοδοντίτιδας

Η ουλίτιδα και η περιοδοντίτιδα είναι και οι δύο μικροβιακές φλεγμονές που προσβάλλουν τα ούλα και το οστό που περιβάλλουν και στηρίζουν τα δόντια. Στην περίπτωση που η φλεγμονή έχει περιοριστεί στα ούλα αποκαλείται ουλίτιδα, ενώ όταν η φλεγμονή προχωρήσει πιο βαθιά στους ιστούς και το επικείμενο οστό, τότε αναφερόμαστε σε περιοδοντίτιδα.

Η νόσος μπορεί να υπάρχει χωρίς να δίνει συμπτώματα, κυρίως σε αρχικό στάδιο, για αυτό και κρίνεται απολύτως απαραίτητη η προληπτική κλινική εξέταση από οδοντίατρο κάθε εξάμηνο για τον απαραίτητο καθαρισμό και επανέλεγχο.

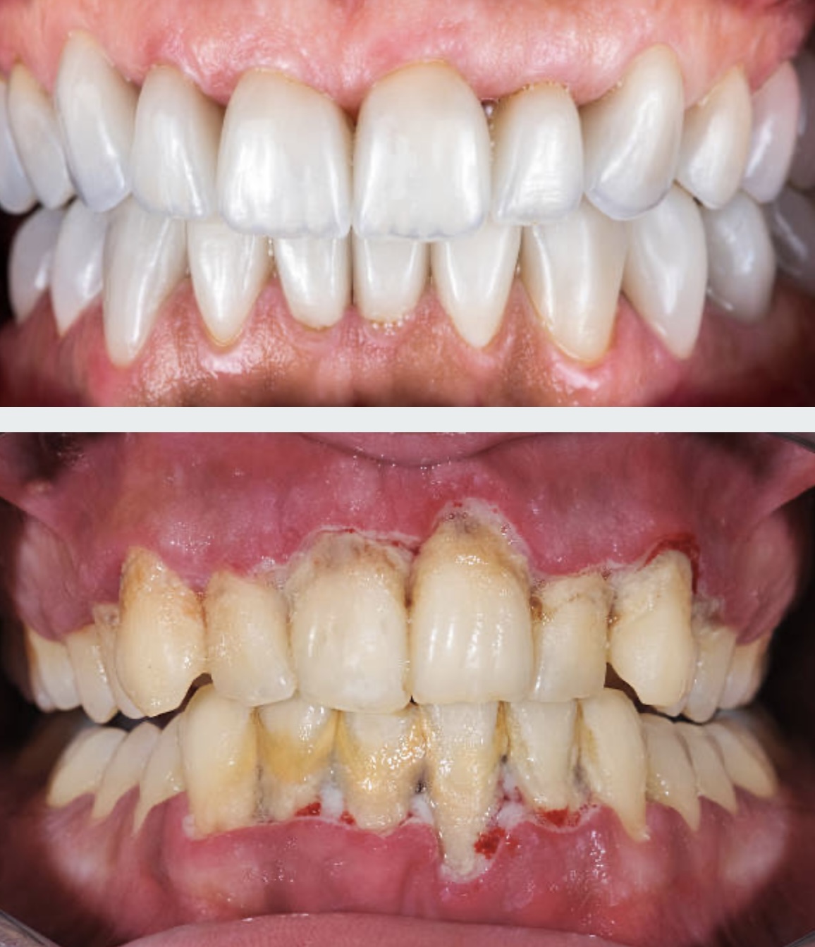
Η περιοδοντική νόσος εκδηλώνεται με διογκωμένα κοκκινωπά ούλα με αίσθημα φαγούρας, που συνήθως ματώνουν κατά το βούρτσισμα ενώ το στόμα εμφανίζει έντονη κακοσμία. Εάν η νόσος δε θεραπευτεί τα δόντια αποκτούν κινητικότητα και τέλος πέφτουν.

Η αιτία εμφάνισης της νόσου

Αιτία της περιοδοντικής νόσου είναι η απουσία καθημερινής σχολαστικής στοματικής υγιεινή που οδηγεί σε πολλαπλασιασμό των μικροβίων που υπάρχουν στο στόμα, τα οποία σε συνδυασμό με τα μικρόβια που δημιουργούνται από τα υπολείμματα των τροφών –μικροβιακή πλάκα –μετατρέπονται σε παθογόνα μικρόβια και εξελίσσονται σε έντονη φλεγμονή στην περιοχή των ούλων και στα οστά της γνάθου.

Η θεραπεία της ουλίτιδας απαιτεί από τον ασθενή προγραμματισμό, συνέπεια, καλή στοματική υγιεινή με σωστό βούρτσισμα, οδοντικό νήμα, μεσοδόντιο βουρτσάκι και στοματικό διάλυμα και καθαρισμό από τον οδοντίατρο.